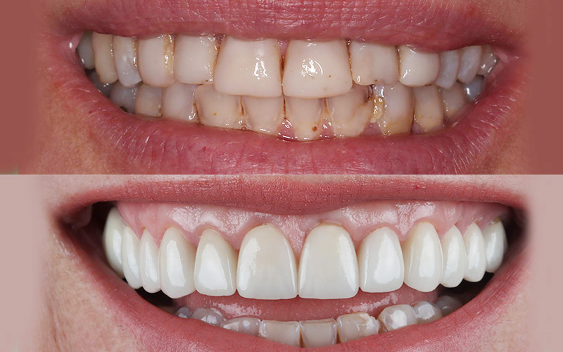
A porcelain veneer is a custom made thin shell of porcelain that is bonded to the front of a natural tooth. Each veneer can be made to a custom length or width and shaped to match a beautiful natural tooth. When ten veneers are placed on the upper and/or lower teeth, they create a straight, white, stunning smile. Today, most actors, television personalities, models, singers, and many professional athletes have porcelain veneers.
After earning his Bachelor of Science degree in Exercise Physiology, Dr. Matthew Huff went on to receive his Doctor of Dental Science from the Virginia Commonwealth University School of Dentistry. While attending school Dr. Huff discovered his passion for learning and in the years since has gone to great lengths to grow his knowledge base through continuing education and specialized training. He also requires each member of his staff to complete six hours of continuing education every year in addition to CPR certification to ensure practice-wide excellence.
In Office or Virtual/FaceTime
Smile Design Impressions
Prep Teeth and Place Temporaries
Placement of Permanent Veneers


